電話のアイコン 042-306-5493 休診日:月・木・祝日
※日曜日は隔週で診察します

電話受付:平日 11:00-19:00/土曜 10:00-17:30/日曜 10:00-17:00

カウンセリングのアイコン

初回
カウンセリング

LINEのアイコン

LINEで
カウンセリング予約

電話のアイコン

お電話での
ご予約

L O A D I N G
症例集のメイン画像
木のイラスト

症例集

CASE

三角のイラスト

症例集(Before-After)

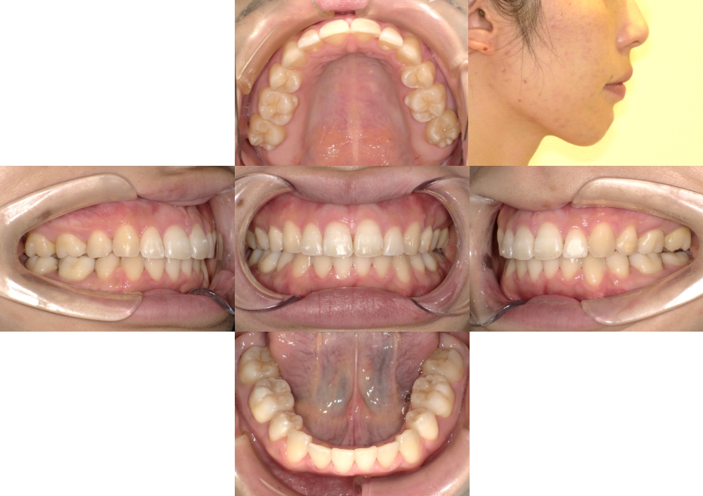
症例1
下顎前突
抜歯
ブラケット矯正
マウスピース矯正
症例詳細
(初診時)年齢
24歳
性別
女性
地域(住所)
日野市
主訴
受け口
診断
骨格性下顎前突、右上7番欠損
装置
マウスピース型矯正装置(インビザライン)、リンガルアーチ、マルチブラケット装置
抜歯/非抜歯
上顎両側8番、下顎両側4番抜歯(計4本)
期間
4年0カ月
費用
850,000円(税抜)(矯正装置・保定装置代込)
調整料 5,000円(税抜)×14回、 6,000円 (税抜)× 22回
リスク・副作用
・治療中は違和感や痛みが出ることがあります。
・歯ぐきが下がる、歯根が短くなる、歯の神経が傷む可能性があります。
・歯磨きがしにくくなるため、歯周病や虫歯のリスクが上がります。
・治療後の保定が不十分な場合、後戻りが生じます。
・自費診療(保険適応外)です。
・長時間の装着(1日20時間以上)が必要です。
・薬機法対象外の装置のため、医薬品副作用救済制度の対象外となる場合があります。
症例写真
BEFORE
AFTER
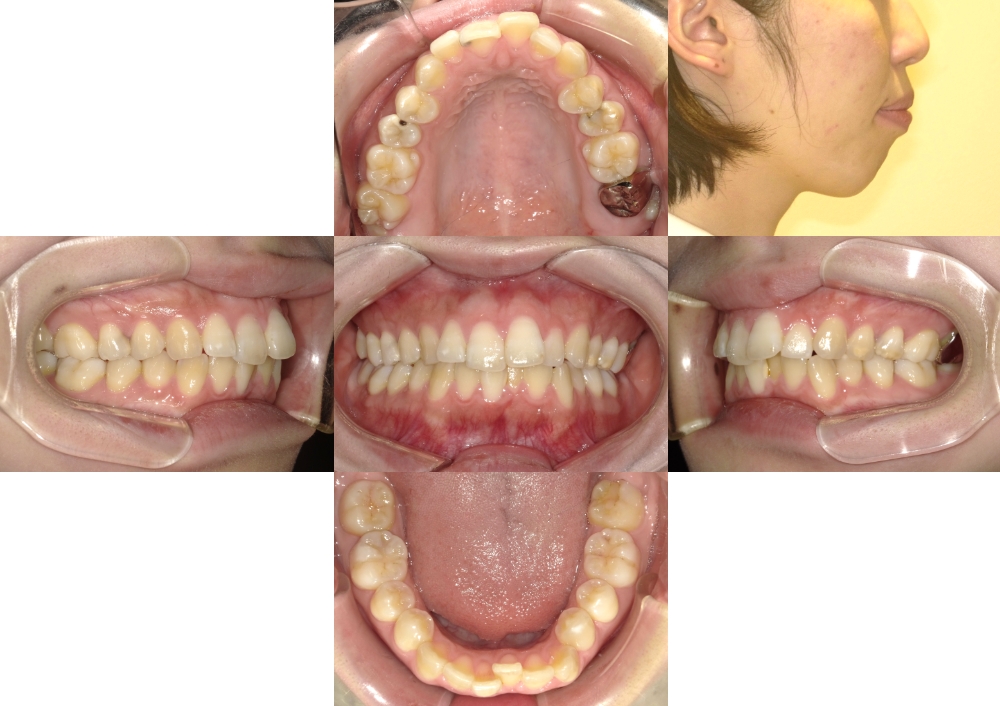
症例2
叢生
抜歯
ブラケット矯正
症例詳細
(初診時)年齢
13歳
性別
男性
地域(住所)
府中市
主訴
デコボコ
診断
右上3番の埋伏歯および下顎両側5番の先天欠損を伴う叢生
装置
カリエールエモーション、マルチブラケット装置
抜歯/非抜歯
下顎両側E抜歯
期間
2年9か月
費用
730,000円(税抜)(矯正装置・保定装置代込)
調整料 5,000円 (税抜)× 33回
リスク・副作用
・治療中は違和感や痛みが出ることがあります。
・歯ぐきが下がる、歯根が短くなる、歯の神経が傷む可能性があります。
・歯磨きがしにくくなるため、歯周病や虫歯のリスクが上がります。
・治療後の保定が不十分な場合、後戻りが生じます。
・自費診療(保険適応外)です。
症例写真
BEFORE
AFTER
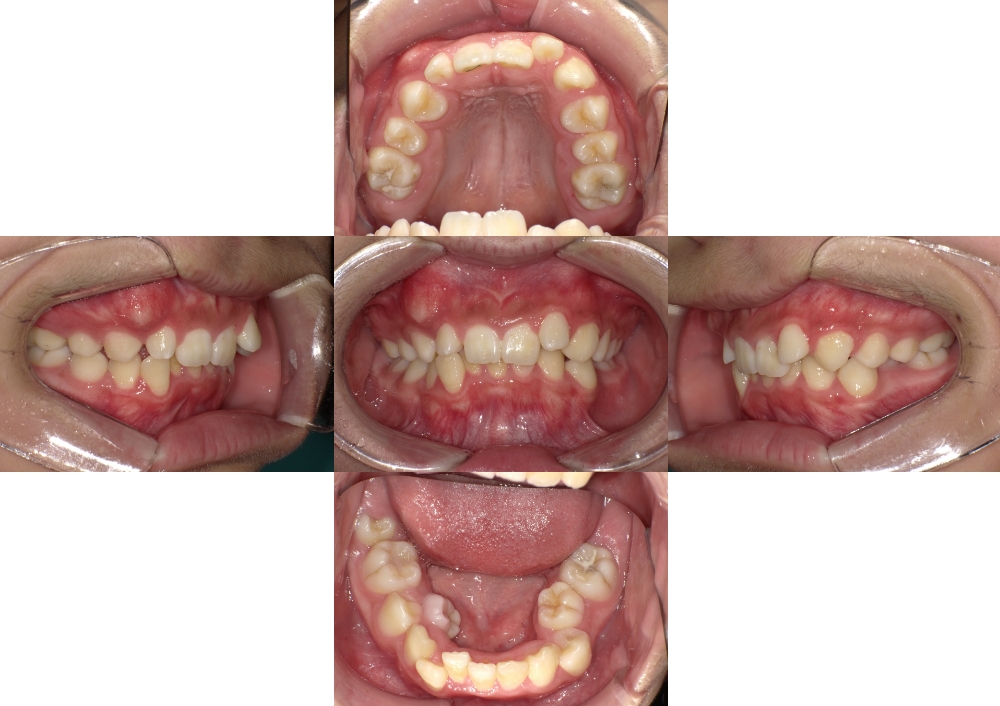
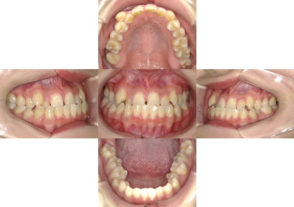
症例3
上顎前突、叢生
抜歯
ブラケット矯正
症例詳細
(初診時)年齢
25歳
性別
女性
地域(住所)
府中市
主訴
デコボコ、出っ歯
診断
叢生を伴う上下顎前突
装置
マルチブラケット装置
上顎口蓋に歯科矯正用アンカースクリューを併用
抜歯/非抜歯
上顎両側5番、下顎両側4番、上顎左側7番抜歯(計5本)
期間
2年3か月
費用
840,000円(税抜)(矯正装置・保定装置代込)
調整料 5,000円(税抜)×35回
リスク・副作用
・治療中は違和感や痛みが出ることがあります。
・歯ぐきが下がる、歯根が短くなる、歯の神経が傷む可能性があります。
・歯磨きがしにくくなるため、歯周病や虫歯のリスクが上がります
・治療後の保定が不十分な場合、後戻りが生じます。
・自費診療(保険適応外)です。
症例写真
BEFORE
AFTER

費用・痛み・期間などの
お悩み、
まずはお聞かせください。

矯正歯科医が、
歯並びや矯正治療について分かりやすくご説明します。
以下のような方は、ぜひ一度ご相談ください。

カウンセリングイメージ
  • 矯正治療について調べているが分からないことがある
  • 歯並びを指摘されたが矯正治療をした方がよいのか判断して欲しい
  • 費用、期間、痛みなど矯正治療について色々な不安がある
  • 自分が矯正治療をした場合、どのようなプランになるのか知りたい
  • 自分の歯並びがマウスピース型の矯正装置で治せるかを知りたい
  • 自分が矯正治療をした場合、詳細な金額を知りたい
  • 年齢的に矯正治療が可能なのか知りたい
  • セカンドオピニオンが欲しい
  • 歯科医師、スタッフ、医院の雰囲気を知りたい
  • 見積もりが欲しい
初回カウンセリングについて
illust

ABOUT

医院について